
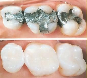
✅ مقایسه دو ماده پر کننده ✨آمالگام
آمالگام دندانی (ماده پر کردنی نقره ای رنگ) آلیاژی است که از ترکیب فلزات شامل جیوه، نقره، قلع و مس حاصل می شود. دلیل استفاده گسترده از آمالگام ماندگاری رستوریشنهای آمالگام برای مدت طولانی و ارزانتر بودن ترمیم آمالگام نسبت به ترمیم با سایر مواد دندانپزشکی از جمله کامپوزیتهای همرنگ دندان است.
✨✅ مزایای آمالگام
✅ از آنجا که ماندگاری این مواد پر کردنی نقرهای رنگ مناسب است، معمولاً در مواردی که پوسیدگیهای وسیع دندان وجود دارد و یا دندان مورد ترمیم در عقب حفره دهان قرار گرفته و فشار زیادی حاصل از نیروی جویدن روی آن وارد میشود، بهترین انتخاب ترمیم آمالگام است.
✅ آمالگام به سرعت سخت میشود و بنابراین کاربرد آن در نواحی خاصی از دهان که ایزوله نگه داشتن یا به عبارتی خشک نگه داشتن دندان در زمان قرارگیری ماده ترمیمی دشوار است، بسیار سودمند است، مانند نواحی زیر خط لثهای.
✅ از سوی دیگر به دلیل آنکه زمان کوتاهتری جهت قرار دادن آمالگام نسبت به کامپوزیت مورد نیاز است، این ماده برای کودکان و افرادی که نیازمندیهای درمانی خاصی دارند و قادر نیستند مدت زمان طولانی روی صندلی دندانپزشکی بنشینند، مؤثر و مفید است.
❗️معایب آمالگام
1️⃣یکی از نکات منفی آمالگام ظاهر غیر طبیعی آن است. خصوصاً اگر دندان پر شده با آمالگام نزدیک به جلوی حفره دهان باشد (یعنی جایی که هنگام صحبت کردن یا لبخند زدن دیده میشود) نازیبا خواهد بود.
2️⃣یکی دیگر از نکات منفی آمالگام آن است که ممکن است دندانپزشک برای قرار دادن پر کردگی آمالگام نسج بیشتری از ساختمان دندان را بردارد (سردبیر علمی سیمادنت: برای آنکه آمالگام گیر و ثبات کافی داشته باشد، لازم است حفره آن به شکل خاصی آماده شود و بنابراین نسج بیشتری از دندان برداشته میشود. حال آنکه در مورد کامپوزیت، در اغلب موارد تنها پوسیدگی حذف میشود و نیاز به تعبیه شکل خاصی از حفره برای قرارگیری آن نیست در نتیجه نسج بیشتری از دندان باقی خواهد ماند.)